ホワイトニング

ホワイトニングについて

ホワイトニング

ホワイトニングには、広い意味でいうと、歯の表面的な着色を落とす「クリーニング」も含まれますが、ここでは、薬剤を使って歯の色そのものを白くする「ホワイトニング」についてお話いたします。ホワイトニングには、歯科医院で行うオフィスホワイトニングと、患者さん専用のマウスピースを作り、ご自宅で行っていただくホームホワイトニングがあります。オフィスホワイトニングは、診療室で歯科医師または歯科衛生士がおこないます。安全かつ理想的な白さを実現しやすく、薬剤の濃度が高めであるため、すぐに白くなるのが特徴です。ただ、徐々に色が戻っていきやすいという点では、ホームホワイトニングよりも持続性が短いといえます。ホームホワイトニングは患者さん自身でおこなっていただくため、薬剤は低濃度で安全なものとなっています。そのため、少しずつ白くなっていき、効果が実感できるまでに期間がかかりますが、その分歯の白さが持続します。オフィスホワイトニングとホームホワイトニングは、白くなるスピードや、かかる時間は異なりますが、最終的な白さのゴールは同じです。

2つのタイプのホワイトニング

ホームホワイトニング オフィスホワイトニング
特徴 ●自宅でおこなう ●歯科医院でおこなう
自宅で2週間、徐々に歯を白くしていく ●施術時間=90~120分
1回の施術で歯を白くする
●専用のマウストレーを作製し、そこにホワイトニングジェルを注入して装着 ●ホワイトニング剤を塗り、光を照射してホワイトニング効果を促進させる
歯科医院内にて施術
●時間をかけて薬剤を深く浸透させるので、ホワイトニング効果がより高い
●オフィスホワイトニングよりも白さが持続する
●1回で完了するので、忙しい方、時間が無い方に最適
(たとえば、結婚式を間近に控えている方など)
  ホームホワイトニング オフィスホワイトニング
特徴 ●自宅でおこなう ●歯科医院でおこなう
自宅で2週間、徐々に歯を白くしていく ●施術時間=90~120分
1回の施術で歯を白くする
●専用のマウストレーを作製し、そこにホワイトニングジェルを注入して装着 ●ホワイトニング剤を塗り、光を照射してホワイトニング効果を促進させる
歯科医院内にて施術
●時間をかけて薬剤を深く浸透させるので、ホワイトニング効果がより高い
●オフィスホワイトニングよりも白さが持続する
●1回で完了するので、忙しい方、時間が無い方に最適
(たとえば、結婚式を間近に控えている方など)

ホワイトニングのステップ

ホームホワイトニング(継続的に)

歯科医院で

STEP1.歯面の清掃

歯面研磨ペースト PTCペースト ルシェロホワイト等を用いて歯面清掃を行います。

歯科医院で

STEP2.マウストレーの作製

歯科医院にて印象(歯型)をとり、患者さんに合わせたマウストレーを作製します。

ご自宅で

STEP3.ホワイトニングジェルの注入

1歯あたり米粒2つ分を目安に、ホワイトニングジェルを注入します。

ご自宅で

STEP4.マウストレーの装着

マウストレー装着時、ホワイトニングジェルがあふれた場合は、すぐに拭き取ってください。ホワイトニング後は歯面をブラッシングし、ジェルを洗い流します。※温水では洗わないでください。

歯面にフィットしたトレーは透明性が高く、違和感なく使用いただけます。

歯科医院で

STEP5.経過の確認

ホワイトニング効果の経過確認を行いますので、歯科医院に指示された日に来院してください。

オフィスホワイトニング(歯科医院でその日のうちに)

歯科医院で

STEP1.ホワイトニングについての説明
歯の表面をクリーニング

オフィスホワイトニングについての説明と、現在の歯の色の確認を行います。そして、ホワイトニング効果を得やすくするために歯の表面のクリーニングを行います。

歯科医院で

STEP2.歯肉保護

ホワイトニングジェルが歯肉に触れないように歯肉を保護します。

歯科医院で

STEP3.ホワイトニングジェルの塗布

ホワイトニングジェルを塗布します。

歯科医院で

STEP4.光を照射

歯面に塗布したホワイトニングジェルに光を照射します。

歯科医院で

STEP5.効果の確認確認

ホワイトニングの効果を確認します。

症例

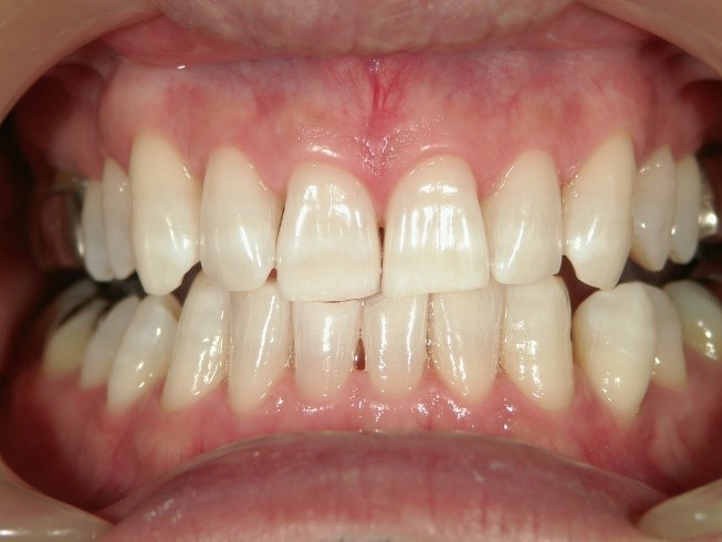
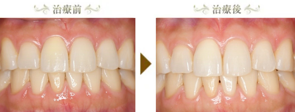
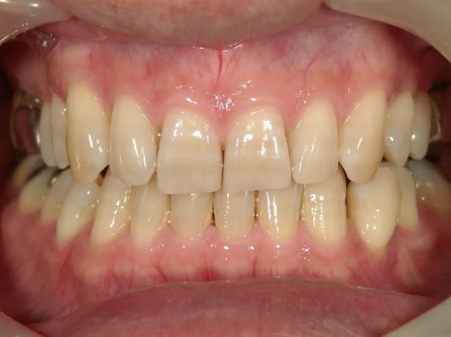
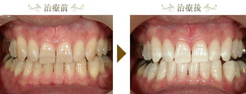
症例1

ホワイトニング前

before

ホワイトニング後

after

53歳 男性。ホームホワイトニングとオフィスホワイトニング両方による、デュアルホワイトニングを施行しました。期間・回数は、ホームホワイトニング1か月(2週間×2回)、その後オフィスホワイトニングを2回(一週間ごと)、行いました。

この症例では、患者様に知覚過敏や歯肉の変色等は起こりませんでしたが、ホワイトニングによる反応には個人差があり、知覚過敏を起こすこともあります。

また、変色してしまった神経のない歯をホワイトニングで白くするインターナルブリーチという方法もあります。こちらはオフィスホワイトニングと同様に、診療室で歯科医師または歯科衛生士がおこないます。歯を削ることなく白くすることができるので、効果が出るととてもきれいな白さとなりますが、変色した経過が長い場合ですと思うように効果が出ないこともあります。

年齢 53歳 男性
治療方法 ホームホワイトニングとオフィスホワイトニング両方による、デュアルホワイトニングを施行しました。
期間・回数 ホームホワイトニング1か月(2週間×2回)、その後オフィスホワイトニングを2回(一週間ごと)、行いました。
症例 患者様に知覚過敏や歯肉の変色等は起こりませんでしたが、ホワイトニングによる反応には個人差があり、知覚過敏を起こすこともあります。

また、変色してしまった神経のない歯をホワイトニングで白くするインターナルブリーチという方法もあります。こちらはオフィスホワイトニングと同様に、診療室で歯科医師または歯科衛生士がおこないます。歯を削ることなく白くすることができるので、効果が出るととてもきれいな白さとなりますが、変色した経過が長い場合ですと思うように効果が出ないこともあります。

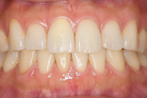
症例2

ホワイトニング前

before

ホワイトニング後

after

34歳、女性。右上の前歯に対してインターナルブリーチを施行しました。ホワイトニングの回数は1回(即日)でした。この患者様は1回できれいに白くなりましたが、先ほど述べた通り、神経のない歯の場合は特に、1回で希望の白さに到達せず、何回か処置が必要になることもあります。

年齢 34歳、女性
治療方法 右上の前歯に対してインターナルブリーチを施行しました。
期間・回数

ホワイトニングの回数は1回(即日)でした。

症例

この患者様は1回できれいに白くなりましたが、神経のない歯の場合は特に、1回で希望の白さに到達せず、何回か処置が必要になることもあります。