審美治療(詰め物・被せ物)

詰め物・被せ物

オールセラミック

オールセラミック

セラミックは歯の色に近い陶器のことで、何百年経過しても白さを失わず、美しい見た目を保つ素材として知られています。 当院のセラミックは、院内に在籍する歯科技工士が、患者さまの歯の色などを確認し、ひとりひとりに合った高品質なものを作ります。 ■リスク・副作用 天然の歯より硬いため、周囲の歯や噛み合う歯を痛めることがある

通院回数

1~3回ほど

通院期間

2~3ヶ月ほど

通院回数 1~3回ほど
通院期間 2~3ヶ月ほど

ハイブリッドセラミック

ハイブリッドセラミック
ハイブリッドセラミック
ハイブリッドセラミック

セラミックとプラスティックを混合した素材です。セラミックは割れやすい欠点がありますが、プラスティックを混ぜ合わせることで、美しさに耐久性を付加することができます。奥歯の詰め物に適切です。

■リスク・副作用
レジンが混ざっていることで、長年使用すると変色が起こる

通院回数

2~3回ほど

通院期間

1~2週間ほど

通院回数 2~3回ほど
通院期間 1~2週間ほど

メタルボンド

メタルボンド
メタルボンド
メタルボンド

メタルボンドは、金属の表面をセラミックで覆った被せ物です。オールセラミックよりも耐久性に優れ、ブリッジの治療をする際の被せ物や歯周病でぐらつく歯を連結して固定する際に適切です。
当院のメタルボンドは、裏側の金属が見えないように注意を払って製作。美しさを追求しています。

■リスク・副作用
経年により歯茎が下がり、歯と歯茎の境目が見えてくることがある

通院回数

2~3回ほど

通院期間

10日~1ヶ月ほど

通院回数 2~3回ほど
通院期間 1~2週間ほど

ラミネートべニア

歯の表面を0.5~1mmほど薄く削り、1mmの厚さのセラミックの板を貼りつけます。前歯など人に見られることの多い部分に施す場合が多いです。
歯を抜かずに治療ができるため、前歯の色が気になる方や、ホワイトニングの効果が思うように出ない方などにお勧めです。

■リスク・副作用
・健康な歯を削る必要がある
・割れたり欠けたりすると、全てやりかえる必要がある

治療時間 1時間/1回
通院期間

1週間~1ヶ月ほど

治療時間

1時間/1回

通院期間

1週間~1ヶ月ほど

コンポジットレジン(CR)修復について

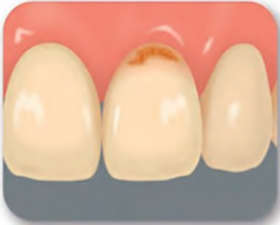
コンポジットレジン(以下CR)とは、歯科用の樹脂の材料です。昔は、前歯の虫歯や奥歯の根元の虫歯、欠けたところを治療する際によく用いられていたものですが、近年、材料の耐久性や接着力の向上により、状態によっては奥歯の咬む面の詰め物としても用いることができるようになりました。CRの利点は審美性に優れ、かつ歯を削る量が最小限で済むという点、また型取りをする必要がないため、治療回数を少なくできる点です。欠点としては、吸水性があるため経年変化で変色することや、大きな虫歯や欠損を伴う場合は用いることが困難な場合もあります。

処置前

① 処置前

切削後

② 切削後

CR充填

③ CR充填

治療後

④ 治療後

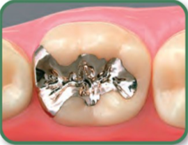
インレー修復について

インレー修復(以下インレー)は、上記のCRと同様、虫歯だったところや欠けたところなどを歯科用の材料(金属やセラミックなど)で部分的に詰める方法ですが、CRと異なる点として、インレーは虫歯を含めて詰める範囲を削り、形を整えて、型を取る必要がある点が挙げられます。型を取ったものを石膏模型にし、模型上で作製した修復物を、後日削った歯に装着するという流れになります。CRと比べると、削る量が多くなるところが欠点ではありますが、虫歯や欠損の範囲が大きい場合や、歯と歯の間にまたがる虫歯の時などは、インレーのほうがより適合が良く、歯と歯の間をきれいに回復できる場合もあるので、CRとインレーの利点欠点や適応の可否を担当医とよく相談して選択していただくのがよいでしょう。

① 形を整え終えた状態

① 形を整え終えた状態

メタルインレーを装着した状態

② メタルインレーを装着した状態

① 形を整え終えた状態

① 形を整え終えた状態

セラミックインレーを装着した状態

② セラミックインレーを装着した状態

*インレーの材料はこれ以外にもいくつかあります。詳細は別ページで記載しておりますのでそちらを参考にしてください。